lunes, 19 de abril de 2010


TAMAÑO


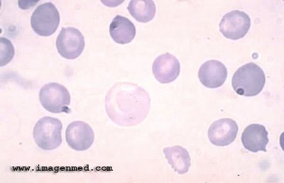
Anisocitosis
Estado patológico de los glóbulos rojos, en el cual estos elementos presentan dimensiones extremadamente variables, en lugar de tener todos el mismo diámetro.

Microcitosis
Estado patológico de los glóbulos rojos, en el cual estos elementos presentan dimensiones extremadamente variables, en lugar de tener todos el mismo diámetro.

Macrocitosis:
La macrocitosis es el aumento del tamaño de los eritrocitos, y se define como un aumento del volumen corpuscular medio de estas células . Las causas más frecuentes de macrocitosis en nuestra sociedad son el alcoholismo y los déficits vitamínicos (vitamina B12 y ácido fólico).

Megalocitosis
Consiste en la existencia de unos hematíes con un diámetro longitudinal superior a 11 µm. Se produce en la anemia megaloblástica.

COLOR

Anisocromía
Consiste en una falta de uniformidad en la coloración entre unos hematíes y otros. La coexistencia de dos poblaciones de hematíes, con coloraciones distintas, se produce por ejemplo en:
•El inicio del tratamiento de la anemia carencial.
•Los enfermos con anemia hipócroma que son transfundidos

Hipocromía
Consiste en la existencia de unos hematíes pálidos y con aumento de la claridad central (hematíes hipocrómicos y anulocitos). Se produce, por ejemplo, en la anemia ferropénica.



Hipercromía
Consiste en la existencia de unos hematíes intensamente coloreados (hematíes hipercrómicos). La única hipercromía real es la que se produce en la esferocitosis hereditaria.

Policromasia
Consiste en la existencia de unos hematíes que presentan una coloración ligeramente basófila. Realmente, estas células son reticulocitos

FORMA

Acantocitosis:
La acantocitosis es la presencia de un tipo de glóbulos rojos anormales en el torrente sanguíneo, llamados acantocitos o eritrocitos con espinas o espículas en su superficie.

Dianocitosis:
Hematíe anormal caracterizado cuando se tiñe y se ve al microscopio por un centro densamente teñido rodeado por un halo palido sin pigmentar.

Drepanocitosis:
La anemia de células falciformes, drepanocitosis ó anemia drepanocítica, es una hemoglobinopatía, enfermedad que afecta la hemoglobina, una proteína que forma parte de los glóbulos rojos y se encarga del transporte de oxígeno. Es de origen genético y se da por la sustitución de un aminoácido en su conformación, esto provoca que a baja tensión de oxígeno la hemoglobina se deforme y el eritrocito adquiera apariencia de una hoz.

Eliptocitosis:
Son hematíes maduros de forma ovalada mas o menos alargada con un centro palido. La hemoglobina se concentra en los extremos.

Equinocitosis:
También llamados estereocitos o astrocitos, consiste en la existencia de unos hematíes con espículas cortas y distribuidas regularmente a lo largo de toda su superficie. Se produce, por ejemplo, en la uremia, cuando los hematíes son pobres en K+ y en las hepatopatías neonatales.

Esquistocitosis
Consiste en la existencia de unos hematíes fragmentados (esquistocitos). Se produce en la anemia microangiopática, en la hemólisis mecánica por la presencia de una prótesis valvular en el corazón y en las quemaduras graves.

Estomatocitosis
Consiste en la existencia de unos hematíes con una invaginación central en forma de boca. Estos eritrocitos son realmente discos unicóncavos. Se produce en el alcoholismo y en las hepatopatías crónicas.

Excentrocitosis
Consiste en la existencia de unos hematíes cuya Hb está concentrada en uno de sus polos. Se produce en el déficit de glucosa-6-fosfato deshidrogenasa.

Keratocitosis
Consiste en la existencia de unos hematíes con dos espículas en su superficie. Se produce en la anemia hemolítica microangiopática, en la hemólisis por prótesis cardiacas y en el hemangioma cavernoso.

Poiquilocitosis
Consiste en la existencia de unos hematíes con una sola prolongación alargada que les confiere el aspecto de una raqueta o de lágrima (dacriocitos). Se produce, por ejemplo, en la talasemia.

COLOR


Anisocromía

Consiste en una falta de uniformidad en la coloración entre unos hematíes y otros. La coexistencia de dos poblaciones de hematíes, con coloraciones distintas, se produce por ejemplo en:

•El inicio del tratamiento de la anemia carencial.
•Los enfermos con anemia hipócroma que son transfundidos


Consiste en la existencia de unos hematíes pálidos y con aumento de la claridad central (hematíes hipocrómicos y anulocitos). Se produce, por ejemplo, en la anemia ferropénica.

Hipercromía
Consiste en la existencia de unos hematíes intensamente coloreados (hematíes hipercrómicos). La única hipercromía real es la que se produce en la esferocitosis hereditaria.

Alteraciones de los hematies


Policromasia
Consiste en la existencia de unos hematíes que presentan una coloración ligeramente basófila. Realmente, estas células son reticulocitos.

sábado, 10 de abril de 2010

Estructura y funcion de la Hemoglobina


La hemoglobina se encuentra exclusivamente en las células rojas de la sangre, en donde se principal función es transportar al Oxígeno desde los pulmones hasta los capilares en los tejidos. La hemoglobina A, la principal en los adultos, está compuesta de cuatro cadenas polipeptídicas (dos cadenas alfa y dos beta) que se mantienen unidas por medio de interacciones no covalentes. Cada subunidad posee estructuras helicoidales y sitio para el hemo como se describió para la mioglobina.

Estructura cuaternaria de la hemoglobina.

El tetrámero de la hemoglobina puede ser considerado de un dímero de dímeros (ab)1 y (ab)2, los números denotan a cada uno de los dímeros. Las dos cadenas de aminoácidos en cada uno de los dímeros, se mantienen unidas por medio de interacciones hidrofóbicas. Los residuos de aminoácidos hidrofóbicos, se localizan no sólo en el interior de la molécula, sino en una región de superficie de la molécula que hace contacto con la otra subunidad para formar al dímero (ab). Enlaces ionicos y puentes de Hidrógeno también ayudan a estabilizar a la unidad (ab). Por el contrario, los dos dímeros están unidos débilmente, por medio de enlaces polares, de tal suerte que pueden separarse uno del otro. Estas interacciones débiles dan origen a diferentes posiciones relativas en la desoxi y oxihemoglobina.


Forma T.

La forma desoxi de la hemoglobina se denomina “T” o tensa. En esta conformación los dos dímeros (ab) interactúan por medio de una red de enlaces ionicos y puentes de Hidrógeno, que impiden el movimiento de las cadenas polipeptídicas. La forma T posee por tanto baja afinidad por el oxígeno.


Forma R.


La unión del oxígeno a la hemoglobina causa la ruptura de algunos de los enlaces ionicos y puentes de hidrógeno que existen entre el dímero (ab). Esto lleva a la estructura denominada “R” o relajada, en la cual el polipéptido posee mayor libertad de movimiento, de ahí que esta forma sea más afín por el Oxígeno.

domingo, 4 de abril de 2010

Eritropoyetina


Eritropoyetina
La eritropoyetina (EPO) es una hormona glucoproteica de origen renal, termoestable, no dializable, con un peso molecular (PM) de aproximadamente 34 000 daltones. Estimula la eritropoyesis en la medula ósea. Es secretada por el riñon en respuesta a la hipoxia celular. La señal hipoxica se obtiene mediante sensores al oxigeno localizados en los riñones.
En términos biológicos la eritropoyetina tiene una actividad de 7 000 unidades (U) por miligramo de proteína. El plasma normal contiene entre 3 y 8 mU de EPO por mililitro de plasma. La eritropoyetina también suele encontrarse en la orina en concentraciones proporcionales a las del plasma, por regular en cerca de 1 a 4mU/mL.
La acción mas importante de EPO es la estimulación de las células madre asignadas, para que proliferen y se diferencien. Los receptores de eritropoyetina en la membrana celular aumentan al madurar UFB-E y UFC-E. En tanto los receptores disminuyen mientras los pronormoblastos maduran y están ausentes en el reticulocito.
Otros efectos de la eritropoyetina son una disminución en el tiempo de maduración celular, aumento en la velocidad de la síntesis de hemoglobina y estimulación de la liberación temprana de reticulocitos de la medula osea (reticulocitos de estrés o de recambio)
El uso de la EPO como drogade dopaje en el deporte está prohibido. El efecto "positivo" de la EPO se debe a que aumenta la masa eritrocitaria (elevando el hematocrito), lo que permite un mejor rendimiento del deportista en actividades aeróbicas. De esta forma se aumenta la resistencia al ejercicio físico.
Los que carecen de eritropoyetina tienen debilidad muscular, ya que si el riñón no tiene esta sustancia, la resistencia al ejercicio físico disminuye notablemente. Otros problemas frecuentes son la hipertensión el cansancio o la aparición de anemia provocados por la debilidad muscular.
Tumores causados por el aumento inapropiado en la producción de eritropoyetina:

-Tiroides
-Hipopituitaismo
-Hipotiroidismo
-Insuficiencia adrenocortical




Estructura y función de los eritrocitos


Eritrocito
Glóbulos rojos (eritrocitos), están presentes en la sangre y transportan el oxigeno al resto de las células del cuerpo.
Los eritrocitos – glóbulos rojos o hematíes son los elementos formes cuantitativamente más numerosas de la sangre y constituyen el componente principal que usan los vertebrados para transportar el oxigeno por medio de la hemoglobina atraves de la sangre y los vasos sanguíneos hacia los diferentes tejidos del cuerpo.

Descripción
El eritrocito es un disco bicóncavo de más o menos 7 a 7.5um de diámetro y de 80 a 100fL de volumen. La célula ha perdido su RNA residual y sus mitocondrias, así como algunas enzimas importantes por tanto es incapaz de sintetizar nuevas proteínas o lípidos.

Origen
Los eritrocitos se derivan de las células madre comprometidas denominadas hemocitoblasto. La eritropoyetina, una hormona de crecimiento producida en los tejidos renales estimula a la eritropoyesis es decir la formación de eritrocitos y es responsable de mantener una masa eritrocitaria en un estadio constante.
Procesos de desarrollo
Las etapas de desarrollo morfológico de la célula eritroide incluyen (en orden de madurez creciente)

-Proeritroblasto
-Eritroblasto basofilo
-Eritroblasto policromatico
-Eritroblasto ortocromático
-Reticulocito
-Hematie, finalmente, cuando ya carece de núcleo y mitocondrias.

A medida que la célula madura, la producción de hemoglobina aumenta combinado el color del citoplasma en muestras de sangre teñidas con tinción de Wright, de azul oscuro a gris rojo y rosáceo. El núcleo paulatinamente se vuelve pictonico y es expulsado fuera de la célula en la etapa ortocromática.

La membrana del eritrocito en un complejo bilipido –proteínico, el cual es importante para mantener la deformabilidad celular y la permeabilidad selectiva. Al envejecer la célula, la membrana se hace rígida permeables y el eritrocito normal es de 100 a 120 días, la concentración eritrocitaria varía de acuerdo al sexo, edad, ubicación geográfica. Se encuentran contracciones más altas en zonas de gran altitud en varones y en recién nacidos las disminuciones por debajo del rango de referencia resultan en un estado denominado anemia. Esta alteración provoca hipoxia tisular. El aumento de la concentración de eritrocitos (eritrocitosis) es menos común.
La hemolisis es la destrucción de los eritrocitos envejecidos y sucede en los macrófagos del bazo e hígado. Los elementos esenciales, globina y hierro, son conservados y reutilizados. La fracción hem de la molécula es catabolizada a bilirrubina y excretada atraves del tracto intestinal. El rompimiento del eritrocito a nivel intravascular hemoglobina directamente a la sangre, aquí la molécula en dimero a y ß, los cuales se unen a la proteína de transporte, heptoglobina. Esta transporta los dimeros al hígado donde posteriormente son catalizados a bilirrubina y excretados.

Eritrocitos humanos
Los eritrocitos tienen una forma oval, aplanada con una depresión en el centro. Este diseño esta optimizado para el intercambio de oxigeno con el promedio que lo rodea lo que les otorga flexibilidad para poder atravesar los capilares, donde liberan la carga de oxigeno. El diámetro de un eritrocito típico es de 6-8 µm

Los glóbulos rojos o eritrocitos, que contienen la hemoglobina y participan en el transporte del oxigeno y del dióxido de carbono. La hemoglobina es el pigmento que le da el color rojo a la sangre.

Valores normales de hematíes en adultos:

Mujeres: 4-5 x 106/uL
Hombres: 4.5-5 x 106/uL